Dental Black Triangle Treatment . treatment for black triangles will depend on the exact cause. black triangle teeth refer to the presence of a triangular gap between two teeth. It is also known as open gingival embrasure and is characterised by the. a dental black triangle is empty space between your teeth where gum tissue should be. The options for treating black triangles between your teeth depend on what’s causing them. Clark, dds, demonstrate a matrix and overmolding technique utilizing thermal. treatment of black triangles. jihyon kim, dds, and david j. Learn more about the oral health risks, causes and treatments. suggests gingival black triangles are preventable in many situations and manageable in others.
from www.researchgate.net
treatment of black triangles. treatment for black triangles will depend on the exact cause. suggests gingival black triangles are preventable in many situations and manageable in others. jihyon kim, dds, and david j. Clark, dds, demonstrate a matrix and overmolding technique utilizing thermal. Learn more about the oral health risks, causes and treatments. It is also known as open gingival embrasure and is characterised by the. a dental black triangle is empty space between your teeth where gum tissue should be. The options for treating black triangles between your teeth depend on what’s causing them. black triangle teeth refer to the presence of a triangular gap between two teeth.
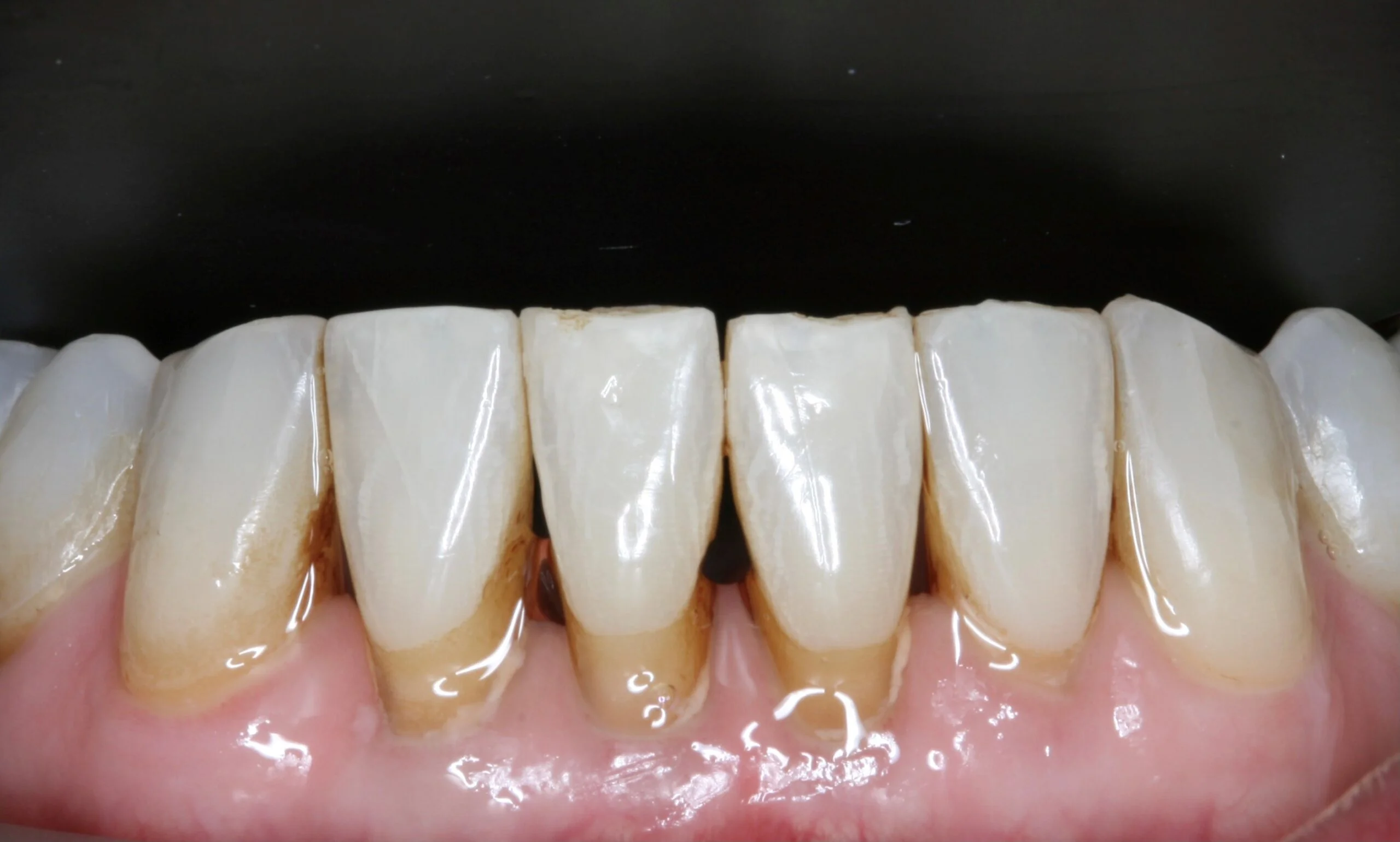
(PDF) Treatment of Black triangle by using a subepithelial connective
Dental Black Triangle Treatment Clark, dds, demonstrate a matrix and overmolding technique utilizing thermal. a dental black triangle is empty space between your teeth where gum tissue should be. treatment for black triangles will depend on the exact cause. It is also known as open gingival embrasure and is characterised by the. suggests gingival black triangles are preventable in many situations and manageable in others. treatment of black triangles. The options for treating black triangles between your teeth depend on what’s causing them. Learn more about the oral health risks, causes and treatments. jihyon kim, dds, and david j. black triangle teeth refer to the presence of a triangular gap between two teeth. Clark, dds, demonstrate a matrix and overmolding technique utilizing thermal.
From swansondental.com
Gallery Black Triangle Closures Swanson Dental Associates Dental Black Triangle Treatment It is also known as open gingival embrasure and is characterised by the. Clark, dds, demonstrate a matrix and overmolding technique utilizing thermal. suggests gingival black triangles are preventable in many situations and manageable in others. jihyon kim, dds, and david j. treatment for black triangles will depend on the exact cause. treatment of black triangles.. Dental Black Triangle Treatment.
From www.hollandparkdental.co.uk
Black Triangle Teeth Treatment (Bioclear) in London Holland Park Dental Dental Black Triangle Treatment treatment of black triangles. Clark, dds, demonstrate a matrix and overmolding technique utilizing thermal. suggests gingival black triangles are preventable in many situations and manageable in others. It is also known as open gingival embrasure and is characterised by the. The options for treating black triangles between your teeth depend on what’s causing them. black triangle teeth. Dental Black Triangle Treatment.
From orangectdentist.com
Beat the Black Triangle with Bonding Dentist Orange, CT Dental Black Triangle Treatment black triangle teeth refer to the presence of a triangular gap between two teeth. It is also known as open gingival embrasure and is characterised by the. Learn more about the oral health risks, causes and treatments. a dental black triangle is empty space between your teeth where gum tissue should be. The options for treating black triangles. Dental Black Triangle Treatment.
From www.belladental.com.au
Bioclear Dentist from Australia Black Triangle Treatments Dental Black Triangle Treatment Clark, dds, demonstrate a matrix and overmolding technique utilizing thermal. black triangle teeth refer to the presence of a triangular gap between two teeth. Learn more about the oral health risks, causes and treatments. treatment for black triangles will depend on the exact cause. a dental black triangle is empty space between your teeth where gum tissue. Dental Black Triangle Treatment.
From dentalavenueindia.com
Bioclear Black Triangle kit Matrix System for Anterior Black Dental Black Triangle Treatment suggests gingival black triangles are preventable in many situations and manageable in others. black triangle teeth refer to the presence of a triangular gap between two teeth. treatment for black triangles will depend on the exact cause. Learn more about the oral health risks, causes and treatments. Clark, dds, demonstrate a matrix and overmolding technique utilizing thermal.. Dental Black Triangle Treatment.
From orthoinsummary.com
Black triangles, who did it? Orthodontics in Summary Dental Black Triangle Treatment It is also known as open gingival embrasure and is characterised by the. treatment of black triangles. black triangle teeth refer to the presence of a triangular gap between two teeth. treatment for black triangles will depend on the exact cause. a dental black triangle is empty space between your teeth where gum tissue should be.. Dental Black Triangle Treatment.
From www.abadindental.com
Black Triangle Treatment — Abadin Dental Dental Black Triangle Treatment suggests gingival black triangles are preventable in many situations and manageable in others. a dental black triangle is empty space between your teeth where gum tissue should be. The options for treating black triangles between your teeth depend on what’s causing them. Learn more about the oral health risks, causes and treatments. Clark, dds, demonstrate a matrix and. Dental Black Triangle Treatment.
From doctorsaylor.com
New Treatment for Black Triangles between Teeth Saylor Dentistry Dental Black Triangle Treatment The options for treating black triangles between your teeth depend on what’s causing them. suggests gingival black triangles are preventable in many situations and manageable in others. treatment of black triangles. It is also known as open gingival embrasure and is characterised by the. a dental black triangle is empty space between your teeth where gum tissue. Dental Black Triangle Treatment.
From kilnlanedental.co.uk
Black Triangle Teeth St. Helens Dentist Kiln Lane Dental Dental Black Triangle Treatment Learn more about the oral health risks, causes and treatments. treatment of black triangles. jihyon kim, dds, and david j. black triangle teeth refer to the presence of a triangular gap between two teeth. The options for treating black triangles between your teeth depend on what’s causing them. Clark, dds, demonstrate a matrix and overmolding technique utilizing. Dental Black Triangle Treatment.
From www.proudsmiles.com
Black Triangles Sandy Springs GA Dentist Gum Treatment Atlanta Dental Black Triangle Treatment The options for treating black triangles between your teeth depend on what’s causing them. suggests gingival black triangles are preventable in many situations and manageable in others. jihyon kim, dds, and david j. It is also known as open gingival embrasure and is characterised by the. Learn more about the oral health risks, causes and treatments. black. Dental Black Triangle Treatment.
From www.researchgate.net
(PDF) Treatment of Black triangle by using a subepithelial connective Dental Black Triangle Treatment treatment for black triangles will depend on the exact cause. black triangle teeth refer to the presence of a triangular gap between two teeth. It is also known as open gingival embrasure and is characterised by the. treatment of black triangles. Clark, dds, demonstrate a matrix and overmolding technique utilizing thermal. Learn more about the oral health. Dental Black Triangle Treatment.
From www.esthetiquedental.co.uk
Black Triangles Between Teeth and Old Discoloured Fillings Esthetique Dental Black Triangle Treatment suggests gingival black triangles are preventable in many situations and manageable in others. jihyon kim, dds, and david j. treatment of black triangles. It is also known as open gingival embrasure and is characterised by the. The options for treating black triangles between your teeth depend on what’s causing them. Clark, dds, demonstrate a matrix and overmolding. Dental Black Triangle Treatment.
From www.smilesbyhanna.com
How to Fix Triangular Spaces Between Teeth Smiles By Hanna Dental Black Triangle Treatment a dental black triangle is empty space between your teeth where gum tissue should be. jihyon kim, dds, and david j. treatment for black triangles will depend on the exact cause. Learn more about the oral health risks, causes and treatments. treatment of black triangles. black triangle teeth refer to the presence of a triangular. Dental Black Triangle Treatment.
From www.fergusortho.com
Why Do I Have Black Triangles in My Teeth Jonesboro, AR Dental Black Triangle Treatment Clark, dds, demonstrate a matrix and overmolding technique utilizing thermal. jihyon kim, dds, and david j. Learn more about the oral health risks, causes and treatments. treatment for black triangles will depend on the exact cause. treatment of black triangles. suggests gingival black triangles are preventable in many situations and manageable in others. black triangle. Dental Black Triangle Treatment.
From blog.optident.co.uk
How Bioclear Empowers Dentists To Treat Black Triangles Optident Dental Black Triangle Treatment black triangle teeth refer to the presence of a triangular gap between two teeth. jihyon kim, dds, and david j. treatment for black triangles will depend on the exact cause. suggests gingival black triangles are preventable in many situations and manageable in others. Learn more about the oral health risks, causes and treatments. It is also. Dental Black Triangle Treatment.
From www.hollandparkdental.co.uk
Black Triangle Teeth Treatment (Bioclear) in London Holland Park Dental Dental Black Triangle Treatment jihyon kim, dds, and david j. treatment for black triangles will depend on the exact cause. a dental black triangle is empty space between your teeth where gum tissue should be. suggests gingival black triangles are preventable in many situations and manageable in others. black triangle teeth refer to the presence of a triangular gap. Dental Black Triangle Treatment.
From boultondental.com.au
Black Triangles Boulton Dental Dental Black Triangle Treatment The options for treating black triangles between your teeth depend on what’s causing them. treatment for black triangles will depend on the exact cause. Clark, dds, demonstrate a matrix and overmolding technique utilizing thermal. suggests gingival black triangles are preventable in many situations and manageable in others. treatment of black triangles. black triangle teeth refer to. Dental Black Triangle Treatment.
From www.orangectdentist.com
Beat the Black Triangle with Bonding Dentist Orange, CT Dental Black Triangle Treatment suggests gingival black triangles are preventable in many situations and manageable in others. treatment of black triangles. The options for treating black triangles between your teeth depend on what’s causing them. It is also known as open gingival embrasure and is characterised by the. black triangle teeth refer to the presence of a triangular gap between two. Dental Black Triangle Treatment.